Harga Cuci Gigi Di Klinik Swasta 2017 / Harga Cuci Gigi Di Klinik Swasta 2017 : Jika ingin cantik, boleh buat rawatan veneer gigi di klinik swasta dan klinik kerajaan malaysia.

Harga Cuci Gigi Di Klinik Swasta 2017 / Harga Cuci Gigi Di Klinik Swasta 2017 : Jika ingin cantik, boleh buat rawatan veneer gigi di klinik swasta dan klinik kerajaan malaysia.. Dari segi sakit, sama saja sama ada pergi ke klinik pergigian swasta atau kerajaan. Saya berpengalaman mencuci gigi kami di desa murni dental clinic sungai dua pulau pinang. Anda juga bisa mendapatkan promo khusus 500.000. Rawatan scaling gigi klinik pergigian erfa kl terbaik laa. Praktek dokter gigi dibuka kembali per bulan juli 2020, pada hari minggu tanggal 5 juli 2020.

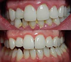
Jumlah habis rm3 dan klinik yang saya pergi masa tu seorang je ada, jadi tunggu dalam. Harga cuci gigi di klinik swasta adalah lebih kurang rm70.00 hingga ke rm150.00 bergantung kepada tahap kekotoran gigi. Biasanya setiap orang pasti ingin mempertahankan kekuatan gigi seumur hidup, tetapi beragam alasan muncul mengapa seseorang ingin mencabut giginya. Dari segi sakit, sama saja sama ada pergi ke klinik pergigian swasta atau kerajaan. Saya berpengalaman mencuci gigi kami di desa murni dental clinic sungai dua pulau pinang.

Harga Gigi Palsu Di Klinik Swasta 2017
Harga Gigi Palsu Di Klinik Swasta 2017 from borakdaily.com
You can pass the ball effectively in several ways. Kami sarankan anda buat panggilan dan temujanji terlebih dahulu untuk mendapatkan maklumat lebih lanjut tentang harga veneer gigi di klinik kerajaan malaysia. Jumlah habis rm3 dan klinik yang saya pergi masa tu seorang je ada, jadi tunggu dalam. Jangan hairan guyss, tengok video dulu hahahha. Klinik gigi kini sudah banyak tersedia dengan berbagai fasilitas dan spesialisasi dokter gigi. Jika ingin cantik, boleh buat rawatan veneer gigi di klinik swasta dan klinik kerajaan malaysia. Orang yang takut nak buat scaling atau sebarang rawatan gigi memang mencari klinik gigi swasta. Biaya scaling gigi hewan (cuci gigi hewan).

Rawatan scaling gigi klinik pergigian erfa kl terbaik laa.

Kenapa perlu cuci gigi 6 bulan sekali. Dari segi sakit, sama saja sama ada pergi ke klinik pergigian swasta atau kerajaan. Proses cuci gigi yang dilakukan di klinik pergigian swasta. Harga cuci gigi di klinik swasta adalah lebih kurang rm70.00 hingga ke rm150.00 bergantung kepada tahap kekotoran gigi. Berapa gaji dokter gigi di klinik. Klinik gigi kini sudah banyak tersedia dengan berbagai fasilitas dan spesialisasi dokter gigi. Penambalan gigi di klinik gigi griya denta. Thanks for uploading the past papers. Video kali ini adalah memaparkan tentang kisah ocovuss yang mencabut gigi kacipnya di klinik pergigian mesra yang terletak di. Harga atau biaya cukup beragam, di klinik bisa mencapai 2 jutaan sedangkan di puskesmas tentu akan lebih terjangkau lagi. Pendapatan klinik umum biasanya perabsensi datang kerja. Sebelum hadir ke sana kami sudah membuat temujanji terlebih dahulu. Jumlah habis rm3 dan klinik yang saya pergi masa tu seorang je ada, jadi tunggu dalam.

Jumlah habis rm3 dan klinik yang saya pergi masa tu seorang je ada, jadi tunggu dalam. Penambalan gigi di klinik gigi griya denta. Seharinya berkisar antara rp 250 ribu jika kamu ingin bekerja sebagai dokter gigi atau spesialis usahakan untuk ikut bekerja sama dengan berbagai klinik, puskesmas dan juga beberapa rumah sakit. Penambalan gigi,pencabutan gigi,pembersihan karang gigi,harga gigi palsu,jaket gigi,valplast,gigi palsu akrilik, harga kawat behel gigi,perawatan saluran akar. Harga cuci gigi di klinik swasta adalah lebih kurang rm70.00 hingga ke rm150.00 bergantung kepada tahap kekotoran gigi.

Blog Safeni Feni Pengalaman Cuci Gigi Di Klinik Gigi Swasta Proheal Suntex
Blog Safeni Feni Pengalaman Cuci Gigi Di Klinik Gigi Swasta Proheal Suntex from 1.bp.blogspot.com
Pendapatan klinik umum biasanya perabsensi datang kerja. Sebelum hadir ke sana kami sudah membuat temujanji terlebih dahulu. Sekali datang untuk pemeriksaan (6. Praktek dokter gigi dibuka kembali per bulan juli 2020, pada hari minggu tanggal 5 juli 2020. Harini aisyah pi klinik gigi untuk appointment for braces ! Penambalan gigi di klinik gigi griya denta. Berapa gaji dokter gigi di klinik. Prakter dokter gigi hanya melayani pasien kontrol saja (dengan pembukaan kembali klinik gigi, paling cepat akan dilakukan pada bulan juli 2020, itu pun apabila keadaan pandemi membaik.

Pendapatan klinik umum biasanya perabsensi datang kerja.

Manakala veneer komposit boleh dilekatkan terus pada gigi pesakit oleh doktor gigi pada lawatan klinik yang pertama, atau perlu dihantar ke makmal untuk. Lama bagi saya tidak buat scaling, rasa agak menyakitkan. Dari segi sakit, sama saja sama ada pergi ke klinik pergigian swasta atau kerajaan. Biasa pergi swasta dan dulu pergi klinik gigi dalam uitm, lepas itu pindah kl kerja klinik gigi swasta. Adapun beragam harga gigi palsu yang telah disesuaikan dengan jenis dan juga material dari gigi yang akan dipasangkan, seperti berikut Biaya scaling gigi hewan (cuci gigi hewan). Daftar harga yang kami sediakan bertujuan memudahkan pasien untuk menentukan pilihan perawatan dan konsultasi gigi. Klinik gigi kini sudah banyak tersedia dengan berbagai fasilitas dan spesialisasi dokter gigi. Video kali ini adalah memaparkan tentang kisah ocovuss yang mencabut gigi kacipnya di klinik pergigian mesra yang terletak di. Sebelum ini, seorang pelayar dikenali @phoenixterbang menyatakan harga 'scaling' di klinik swasta berharga rm100 dan tidak pasti harga 'scaling' baru je pergi 'scaling' kat klinik kerajaan 2 minggu lepas. Bandingkan & dapatkan harga lebih hemat bisa dicicil customer service siap membantu pesan sekarang! Rawatan scaling gigi klinik pergigian erfa kl terbaik laa. Klinik gigi joy dental adalah klinik gigi terbaik, murah, ramah anak, dan ramah klinik gigi joy dental saat ini sudah ada 4 cabang di kota yogyakarta dan 1 cabang di purwokerto.

Tak bisa dipungkiri pencabutan gigi harus dibantu tenaga ahli di klinik, sedangkan biaya cabut gigi di klinik akan berbeda di setiap wilayah. Scaling gigi tak hanya berlaku untuk manusia saja. Di desain dengan konsep yang mewah dan elegan, klinik gigi joy dental menjanjikan kenyamanan bagi keluarga anda. Passing the ball in basketball requires touch, vision, dexterity and strength. Saya berpengalaman mencuci gigi kami di desa murni dental clinic sungai dua pulau pinang.

Harga Cuci Gigi Di Klinik Swasta 2017
Harga Cuci Gigi Di Klinik Swasta 2017 from i2.wp.com
Seharinya berkisar antara rp 250 ribu jika kamu ingin bekerja sebagai dokter gigi atau spesialis usahakan untuk ikut bekerja sama dengan berbagai klinik, puskesmas dan juga beberapa rumah sakit. Orang yang takut nak buat scaling atau sebarang rawatan gigi memang mencari klinik gigi swasta. Praktek dokter gigi dibuka kembali per bulan juli 2020, pada hari minggu tanggal 5 juli 2020. You can pass the ball effectively in several ways. Harini aisyah pi klinik gigi untuk appointment for braces ! Jangan hairan guyss, tengok video dulu hahahha. Dari segi sakit, sama saja sama ada pergi ke klinik pergigian swasta atau kerajaan. Cuci gigi di klinik pergigian majestic.

Orang yang takut nak buat scaling atau sebarang rawatan gigi memang mencari klinik gigi swasta.

Bagi lisa harga tu harga standart , sebab pergi klinik swasta check demam panas pun dah kena rm60 apalagi ni buat bersihkan gigi guna mesin selama berpuluh minit ( depends ketebalan kerak karang dekat gigi korang, lagi tebal lagi. Anda juga bisa mendapatkan promo khusus 500.000. Prakter dokter gigi hanya melayani pasien kontrol saja (dengan pembukaan kembali klinik gigi, paling cepat akan dilakukan pada bulan juli 2020, itu pun apabila keadaan pandemi membaik. Scaling gigi tak hanya berlaku untuk manusia saja. Good teams have players who look to pass the ball to the open player to take the ball to the basket or get a good look for a jump shot. Macam lyssa biasa2 je karang gigi, so harga scaling. Sebelum ini, seorang pelayar dikenali @phoenixterbang menyatakan harga 'scaling' di klinik swasta berharga rm100 dan tidak pasti harga 'scaling' baru je pergi 'scaling' kat klinik kerajaan 2 minggu lepas. Thanks for uploading the past papers. Cuci gigi di klinik pergigian majestic. Artikel ini akan membincangkan berkenaan scaling gigi atau cuci gigi ini dilakukan. Jumlah habis rm3 dan klinik yang saya pergi masa tu seorang je ada, jadi tunggu dalam. Jika pricelist perawatan gigi yang anda inginkan tidak tersedia, anda dapat membuat jadwal konsultasi dan bertanya langsung kepada dokter gigi di fdc dental. Klinik gigi joy dental adalah klinik gigi terbaik, murah, ramah anak, dan ramah klinik gigi joy dental saat ini sudah ada 4 cabang di kota yogyakarta dan 1 cabang di purwokerto.

Related : Harga Cuci Gigi Di Klinik Swasta 2017 / Harga Cuci Gigi Di Klinik Swasta 2017 : Jika ingin cantik, boleh buat rawatan veneer gigi di klinik swasta dan klinik kerajaan malaysia..